Menu
Orthodontic Specialties, P.C.
Locations in Rockford & Belvidere, Illinois
Se habla español

Braces for Teen Years

Braces are no longer a burden for the teen years and most patients consider it ‘cool’ as they are improving themselves. Braces carry the aura of being progressive and wanting to improve one’s appearance. A beautiful smile breeds confidence and self-esteem.

Small braces, braces with colors, clear braces and even Invisalign are all options for the young adult seeking treatment. Treatment during this time is usually important as it frequently utilizes remaining growth to develop the arches and encourage normal changes and maturation of the face and mouth.

Problems to Watch for in Teens

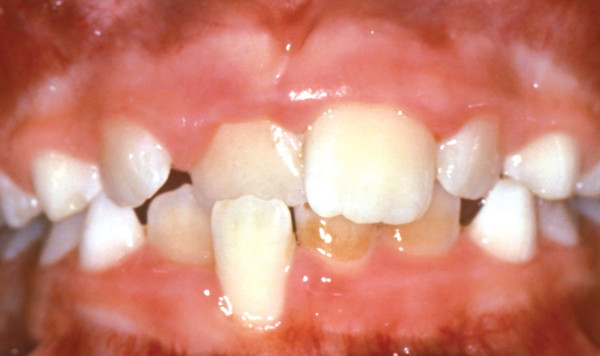
Malocculusions ("bad bites") like those illustrated below, may benefit from early diagnosis and referral to an orthodontic specialist for a full evaluation.

Crossbite of Front Teeth Crossbite of Front Teeth - Top teeth are behind bottom teeth

Crossbite of Back Teeth Crossbite of Back Teeth - Top teeth are to the inside of bottom teeth

Crowding Crowding

Open Bite Open Bite - Front teeth do not meet when back teeth are closed

Protrusion Protrusion

Deep Bite Deep Bite

Underbite Underbite

Spacing Spacing

Oral Habits Oral Habits

Orthodontic Specialties, P.C.

Orthodontic Specialties, P.C. — Orthodontics by Dr. Dean J. Murphy

We accept insurance.

2835 McFarland Rd, Rockford, IL 61107
(One block South of Woodman’s)
815-636-2992
Se habla español.

1670 Henry Luckow Ln, Belvidere, IL 61008
(One block East of Post Office)
815-547-7600

Member American Association of Orthodontists

Invisalign

©Orthodontic Specialties, P.C., All rights reserved.